
5 out of 5 stars based on 700+ reviews



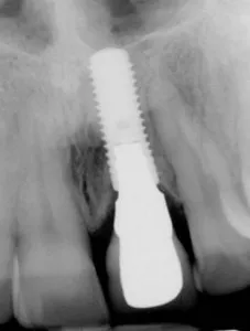
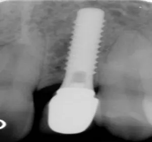
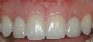
Antes y después de implante único





Antes y después de dos implantes de incisivos






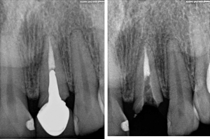
Antes del diente en deterioro con infección





Antes: paciente con dos dientes frontales ausentes. 17 años después de colocación de implantes con injerto de encía




Antes: paciente con dos dientes frontales ausentes con pérdida de hueso y encía. 7 años después de colocación de implantes con injerto de hueso y encía
Why Choose Dr. Dimitrov

Elite Training: Earned his DMD from the University of Connecticut and completed residency at the University of Miami/Jackson Memorial Hospital, where he served as Chief Resident.
Proven Leadership: Awarded the prestigious Professor’s Cup for excellence in surgery, patient care, and academic achievement.
Meet Dr.Kroum Dimitrov
