
Before Gum Recession

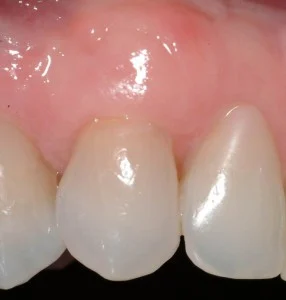
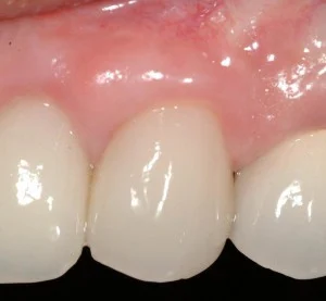
Initial Healing 10 days After Gum Grafting

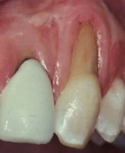
Before Gum Recession

Healing 3 Months After Gum Grafting

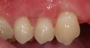
Before Gum Recession

Healing 3 Months After Gum Grafting

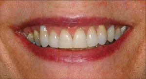
Before Uneven Smile from Cum Recession

Smile Enhancement after root coverage gum grafts





Gum Recession Growth factors and Collagen Gum graft

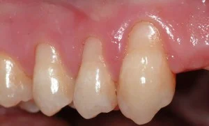
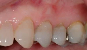
Before Cum Recession on 4 Teeth

Repair with Growth Factors & Collagen Graft
Why Choose Dr. Dimitrov

Elite Training: Earned his DMD from the University of Connecticut and completed residency at the University of Miami/Jackson Memorial Hospital, where he served as Chief Resident.
Proven Leadership: Awarded the prestigious Professor’s Cup for excellence in surgery, patient care, and academic achievement.
Meet Dr.Kroum Dimitrov

